こんにちは、松本デンタルオフィスです!
本日は、詰め物のお話の続きです♪
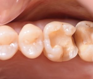
《当院で扱っている詰め物》
①ダイレクトボンディング
②ハイブリッドインレー
③オールセラミックインレー
④保険適用の銀の詰め物
前回は①のダイレクトボンディングについてご紹介したので、今回はそれ以外の3種類の詰め物についてご紹介したいと思います。
②ハイブリッドインレー
こちらは、セラミックとプラスチックを混ぜた材料になります。
オールセラミックインレーに比べると、柔軟性がありますが強度が劣るため、噛み合わせが強い部位には適応しない場合があります。
また、年月が経つと色の変化が多少見られます。
32,400円(5年保証有)
③オールセラミックインレー
ハイブリットインレーよりも強度があるため、割れにくい特徴があります。
また、着色もほとんどしないため、色の変化はそこまで見られません。
54,000円(5年保証有)

オールセラミックインレーはご自身の歯の色に合わせてお作りするので、本物の歯のように綺麗に仕上がります。
見た目はもちろん長い目で見た時に、こちらを選択したいただく方が大変多いです♪
④保険適用の銀の詰め物
保険適用のため、最低限の費用で治療をすることが出来る一方、審美性に欠ける、金属アレルギーの心配といったデメリットがあります。
また、銀の詰め物を入れた場合、歯と詰め物の隙間が出来やすく、数年後には再び虫歯になってしまっているという可能性が高くなります。
保険適用により部位によって金額は異なります
詰め物をやり替えたい、白くしたいなどご相談のみでも承っていますので、お気軽にお尋ねください♪
